У выжившего после коронавируса жителя Севастополя осталось 30% легких
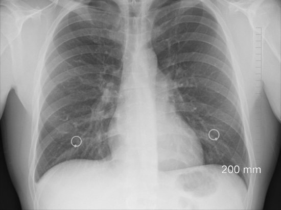
Врио губернатора Севастополя Михаил Развожаев сообщил, что в городской больнице выписали первого госпитализированного с диагнозом коронавирус. Мужчина выжил, но сохранил только треть легких.
"Сегодня он покинул больницу. 70% легких – белое пятно, то есть 30% сохранилось", - рассказал Развожаев.
Он отметил, что врачи обещали, что должен начаться процесс регенерации, но они не могут предсказать, насколько он произойдет.
"Больной находился в больнице несколько недель, в том числе на грани подключения к аппарату ИВЛ", - также отметил врио главы Севастополя, добавив, что в лечении пациента также удаленно помогали московские специалисты.
Самое любопытное, отметил Развожаев, что пробы на коронавирус на этого пациента пришли отрицательные.
"Вот в таком состоянии человек выписан. Фактически это инвалидизация", - подчеркнул врио губернатора. Он добавил, что этот вирус может нанести очень серьезный ущерб.
